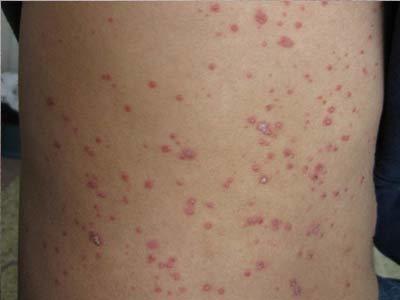
青少年爆发牛皮癣-这些伤害往往最致命?对于青少年的牛皮癣,早发现早治疗,坚持去正规专业的医疗机构进行检查和治疗,是对孩子的负责,也是重视。牛皮癣对老年人中年人和青少年的伤害影响不一样,同样的同一种群体之下,病情的大小也会影响产生伤害的大小;所以就拿青少年来说,牛皮癣对于青少年的伤害是和其它群体有着不同的,下面有请西安治疗牛皮癣医院来为我们深刻的解答一下。

一,自尊心受到打击;牛皮癣对于青少年的危害,最大的打击可能就是心理方面,任何一个青少年都不会想要身上出现皮损,这会导致患者变得敏感而自卑,而在这种情况下,调查研究发现社会上有很多人对于牛皮癣患者是存在一定的歧视的。这就导致患者的自尊心受到巨大打击,从而产生一系列心理问题。》》》推荐阅读:更好更快更有效-治疗牛皮癣有妙招
二,诱发其它疾病;对于牛皮癣而言,牛皮癣的症状会使得患者身体免疫力降低,从而容易导致扁桃体发炎感冒等情况的发生,其次不同类型的牛皮癣还有可能引发营养不良,低蛋白血症还有类风湿关节炎等症状。
三,影响学习和社交;对于青少年来说,最重要的任务就只有两个,一是学习,而就是朋友,也就是所谓的社交,牛皮癣对于青少年的危害正好是会影响这两者,皮损的出现让青少年的社交受到影响,同时因为别人的眼光产生的心理问题又会影响到患者的学习。
青少年爆发牛皮癣-这些伤害往往最致命?疾病对于患者的伤害根据不同年龄和不同的群体会出现不同的伤害,对于牛皮癣来说也是如此。






